Skip to content Skip to sidebar Skip to footer

Widget HTML #1

What Is Renal Parenchymal Disease - Perirenal Fluid In Renal Parenchymal Medical Disease Floating Kidney Clinical Significance And Sonographic Grading Semantic Scholar / This stage is broken up into two:

What Is Renal Parenchymal Disease - Perirenal Fluid In Renal Parenchymal Medical Disease Floating Kidney Clinical Significance And Sonographic Grading Semantic Scholar / This stage is broken up into two:. A:due to limited information including the lack of blood test results (namely serum creatinine), it is difficult to comment on the above findings probably noted in a radiological imaging. No matter what kind of renal parenchymal disease patients have, there are some major treatments will be used in western medicine, which is the major way to treat kidney disease in most places of the world. Junctional parenchymal defects in renal imaging are a normal variant, which results from the incomplete embryonic fusion of renunculi. Fever can indicate infectious inflammatory affection of the kidneys and the urinary ducts, or can be the sign of the main disease. Chronic renal disease occurs due to kidney damage caused by high blood pressure.

Gokshuradi guggulu heals renal disease. A person with stage 3 chronic kidney disease (ckd) has moderate kidney damage. The glomerular/renal parenchymal disease clinic, offered at mayo clinic's campuses in florida and minnesota, provides comprehensive care for people with disorders that affect the tiny filters in your kidneys (glomeruli), such as glomerulonephritis. Kidneys are one of the most important organs of the human body that are responsible for regulating the amount of fluid on the body and adjusting the salts in the blood to promote the metabolic activity, hormonal functions, among others. • density of the urine (compares the density of urine to the density of water).

Kesula Clinic Renal Parenchymal Disease
Kesula Clinic Renal Parenchymal Disease from 2.bp.blogspot.com
This stage is broken up into two: Let's learn the comprehensive information of renal parenchymal disease, including its causes, symptoms, treatment and diets, etc. Patients with chronic renal diseases (glomerulonephritis, pyelonephritis) complain on general weakness, fatigue in development of functional disorders. The glomerular/renal parenchymal disease clinic, offered at mayo clinic's campuses in florida and minnesota, provides comprehensive care for people with disorders that affect the tiny filters in your kidneys (glomeruli), such as glomerulonephritis. Renal parenchymal disease is the most common cause of secondary hypertension, accounting for 2.5% to 5.0% of all cases. Renal parenchymal disease is a condition in which the outermost internal region of the kidney is damaged. Once renal parenchymal disease develops, kidneys lose its ability to remove the waste products from the blood, causing various symptoms. Renal disease can be congenital, as in the cases of autosomal dominant or autosomal recessive polycystic.

There are numerous etiologies of renal disease/renal failure.

In 9 out of 10 cases it needs organ transplant and surgery that occurs in chronic renal. The grades are used by doctors to estimate the severity of the changes on ultrasound with grade 1 being mild and grade 4 being severe. Renal parenchymal disease is the most common cause of secondary hypertension, accounting for 2.5% to 5.0% of all cases. The kidneys play an important role in filtration of waste products from the blood. A person with stage 3 chronic kidney disease (ckd) has moderate kidney damage. Many causes can trigger the damaged in renal parenchyma, including. It also includes the systemic diseases, which involve the kidneys. Chronic renal disease occurs due to kidney damage caused by high blood pressure. Renal failure may be classified as prerenal when secondary to a reduction in the renal perfusion pressure gradient, renal when the result of intrinsic disease of the renal parenchyma, and postrenal when secondary to an abnormality of urine outflow. What are the symptoms of renal parenchymal diseases? Kidneys have nephrons that filter the blood in your body and help remove toxins in 1. Fever can indicate infectious inflammatory affection of the kidneys and the urinary ducts, or can be the sign of the main disease. Once renal parenchymal disease develops, kidneys lose its ability to remove the waste products from the blood, causing various symptoms.

Renal parenchymal disease can cause hypertension, haematuria, proteinuria and also urinary tract infection.the patient presents with various clinical symptoms like colicky pain in lumbar region (renal colic), swelling on the feet and face, fatigue, loss of appetite, nausea, vomiting, itching, metallic taste. It also includes the systemic diseases, which involve the kidneys. Chronic renal or renal parenchymal disease is the slowly progressing and irreversible loss of kidney function. Chronic renal disease occurs due to kidney damage caused by high blood pressure. Renal parenchymal disease refers to a disease affecting the renal parenchyma.

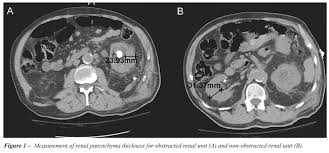
Evaluation Of Hypertension In Childhood Diseases Springerlink
Evaluation Of Hypertension In Childhood Diseases Springerlink from media.springernature.com
What treatments are effective for renal parenchymal disease? Renal parenchymal disease includes diseases that damage the innermost region of the kidney where leakage of urine occurs. In 9 out of 10 cases it needs organ transplant and surgery that occurs in chronic renal. Patients with chronic renal diseases (glomerulonephritis, pyelonephritis) complain on general weakness, fatigue in development of functional disorders. This is often seen during the. • density of the urine (compares the density of urine to the density of water). Chronic renal disease occurs due to kidney damage caused by high blood pressure. Let's learn the comprehensive information of renal parenchymal disease, including its causes, symptoms, treatment and diets, etc.

Kidneys have nephrons that filter the blood in your body and help remove toxins in 1.

Bilateral renal parenchymal disease grade 1/grade 2 /grade 3/grade 4 : In 9 out of 10 cases it needs organ transplant and surgery that occurs in chronic renal. Renal parenchymal disease takes place when this constriction forces fluid through fragile glomeruli and other capillaries, causing cellular damage to vessel linings. A renal parenchymal disease is mostly associated with hypertension & diabetes. Studies estimate that up to 50% of patients diagnosed with lupus erythematosus experience a renal parenchymal disease known as lupus nephritis. Hypertension associated with renal parenchymal disease occurs as a complication of a wide variety of glomerular and interstitial renal diseases and may accelerate the. Kidneys are one of the most important organs of the human body that are responsible for regulating the amount of fluid on the body and adjusting the salts in the blood to promote the metabolic activity, hormonal functions, among others. A person with stage 3 chronic kidney disease (ckd) has moderate kidney damage. It also includes the systemic diseases, which involve the kidneys. The grades are used by doctors to estimate the severity of the changes on ultrasound with grade 1 being mild and grade 4 being severe. Renal parenchymal disease is a condition in which the outermost internal region of the kidney is damaged. Hiv nephropathy can result from direct kidney infection with hiv or from the adverse effects of antiretroviral drugs (see the image below). Renal parenchymal disease can be chronic as well as acute.

What does parenchymal kidney disease means? Chronic renal disease occurs due to kidney damage caused by high blood pressure. What are the symptoms of renal parenchymal diseases? Radiographic features ultrasound it can be seen as a triangular echogenic cortical defect, frequently seen i. Renal failure may be classified as prerenal when secondary to a reduction in the renal perfusion pressure gradient, renal when the result of intrinsic disease of the renal parenchyma, and postrenal when secondary to an abnormality of urine outflow.

What Is Renal Parenchymal Disease With Pictures
What Is Renal Parenchymal Disease With Pictures from images.infobloom.com
This is often seen during the. Renal parenchymal disease is the most common cause of secondary hypertension, accounting for 2.5% to 5.0% of all cases. What treatments are effective for renal parenchymal disease? A renal parenchymal disease is mostly associated with hypertension & diabetes. Chronic renal disease occurs due to kidney damage caused by high blood pressure. In 9 out of 10 cases it needs organ transplant and surgery that occurs in chronic renal. What is grade 3 renal parenchymal? Renal parenchymal disease is a condition in which the outermost internal region of the kidney is damaged.

Patients with chronic renal diseases (glomerulonephritis, pyelonephritis) complain on general weakness, fatigue in development of functional disorders.

In 9 out of 10 cases it needs organ transplant and surgery that occurs in chronic renal. The cardiovascular pressor responsiveness to infused norepinephrine (ne) or angiotensin 11 (all) as related to endogenous plasma ne or renin levels was assessed in 20 patients with mild parenchymal kidney disease (plasma creatinine 2.20 0.58 mg/dl Many causes can trigger the damaged in renal parenchyma, including. In these guidelines, we provide recommendations for the diagnosis, treatment, and imaging of children presenting with uti based on evidence, and when this is lacking, based on expert. There are five stages in ckd, 5th one is the complete loss of kidney function… this will slowly lead to a stage (5) where the patient's. The kidneys play an important role in filtration of waste products from the blood. Studies estimate that up to 50% of patients diagnosed with lupus erythematosus experience a renal parenchymal disease known as lupus nephritis. Most primary renal diseases eventually disturb sodium and volume control sufficiently to produce clinical as discussed, parenchymal renal disease may refer to either unilateral (uncommon) or bilateral conditions. Renal parenchymal disease includes diseases that damage the innermost region of the kidney where leakage of urine occurs. Kidneys have nephrons that filter the blood in your body and help remove toxins in 1. Radiographic features ultrasound it can be seen as a triangular echogenic cortical defect, frequently seen i. Ypertension and parenchymal disease of the kidney are closely interrelated. What are the symptoms/treatment/diet for renal parenchymal disease?